Menu

shikon-cyst

~歯根嚢胞摘出術・歯を残すための歯根端切除術~

⻭の根の腫れ・膿が溜まる(⻭根嚢胞)の原因とは?

外科的歯内療法

フィックデンタルクリニックでは根尖部嚢胞を摘出術や抜歯ではなく歯を残すための治療、歯根端切除術も専門的に行っています。

むし歯(う蝕)が進行し、歯髄に感染が起こり、感染が歯根の尖端までに波及すると、根尖性歯周炎が生じます。それが慢性化すると歯根肉芽腫(しこんにくげしゅ)や歯根嚢胞ができます。

歯根嚢胞とはなぜ「嚢胞(のうほう)」ができるの?|発症メカニズム

歯根嚢胞とは、歯の根の先端に発生する嚢胞性の病変で、多くの場合は細菌感染により生じます。

歯根嚢胞は、歯の神経(歯髄)が死んでしまった歯や、過去に根管治療を受けた歯に多く見られます。

特に、歯の神経が細菌感染により壊死し、そのまま放置されることで、細菌が歯の根の先にまで到達します。そこで免疫反応として体が膿をため込むようになり、炎症性の袋状構造(のう胞)が形成されます。

発生箇所は根の先端に膿の袋が形成されるケースが一般的です。

嚢胞の大きさは数ミリから数センチに及ぶこともあり、大きくなると顎の骨(歯槽骨)の吸収につながります。

根管治療を続けても治らず、抜歯と言われてしまった・上顎洞まで波及して膿がある場合でも「歯根端切除術」で歯を助けられる可能性がございます。

ただ歯根破折が原因の場合は、抜歯及び歯根嚢胞摘出が確実な治療になります。

発症年齢

30代〜60代の成人

・過去に虫歯治療(根管治療)を受けた歯

・前歯〜小臼歯など、過去に外傷や治療歴のある歯

症状がないまま進行することも多く、レントゲン撮影で偶然見つかるケースも少なくありません。歯根嚢胞の主な原因

むし歯の放置

歯根嚢胞の最も多い原因は、進行したむし歯です。

むし歯が歯の表面から内部に向かって進行すると、やがて歯の神経に到達します。

細菌感染により神経が死んでしまうと、歯の内部が無菌状態でなくなり、細菌が根の先まで侵入します。その結果、免疫反応が生じて膿がたまり、嚢胞が形成されるのです。

特に、神経がすでに死んでいる歯は痛みを感じにくいため、進行していても気づかれにくい傾向があります。症状が出た時にはすでに大きな嚢胞となっていることも多く、注意が必要です。

外傷によるもの

転倒や事故、スポーツ中の衝突などによって力がかかると、見た目には異常がなくても内部で神経が死んでしまうことがあります。

神経が壊死すると、歯の中で細菌の温床となり、感染が根の先に広がります。

非感染性外傷による神経の失活は時間が経ってから症状として現れることが多く、気づかないうちに歯根嚢胞ができていたというケースもあります。

不完全な過去の根管治療

以前に根管治療を受けた歯でも、根管の中に細菌が残っていたり、充填材が不十分だったりすると、再び感染を起こすことがあります。

また、根管内部は複雑な構造をしており、分岐やカーブがある場合には、すべての感染源を除去するのが困難な場合もあります。

そのため、治療後数年を経てから歯根嚢胞が見つかるケースも珍しくありません。

一度形成された嚢胞が再発を繰り返すようなケースでは、再根管治療では治らず、外科的な処置が必要になることもあります。

初期は無症状のことが多い

歯根嚢胞は初期の段階ではほとんど自覚症状がなく、歯科検診時のレントゲンやCT検査で偶然発見されるケースが多く見られます。

症状がないまま進行するため、気づかずに放置してしまうこともあります。

歯肉の腫れや違和感

嚢胞が徐々に大きくなってくると、歯肉に腫れや膨らみが生じることがあります。

噛んだ時に違和感があったり、圧を感じたりすることで異常に気づく方もいます。

膿が出る、顔が腫れる

さらに進行すると、歯肉にフィステルと呼ばれる膿の出口ができ、膿が出てくることがあります。

また、膿がたまって炎症が広がると、頬や顎が大きく腫れてしまい、発熱や倦怠感をともなう場合もあります。

ここまで進行した場合は、早急に治療を受ける必要があります。

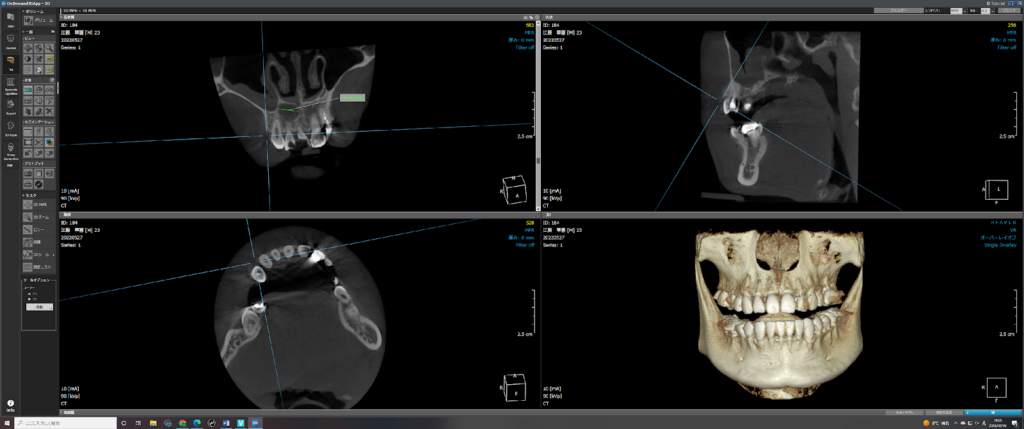
レントゲン・CTによる精密検査

X線写真では、歯の根の先に黒く抜けた影として嚢胞が確認できます。ただし大きさや位置によっては分かりづらい場合もあります。

三次元画像が得られる歯科用CTでは、嚢胞の位置や

骨への影響などをより正確に把握することができます。

手術が必要なケースでは特に重要です。

歯髄の生死確認

神経が生きているかどうかを確認するテストも併用し、歯の状態を総合的に判断します。

外傷歯の場合などは特に有効です。

症例

症例.1

30代男性嚢胞サイズ8.5mm

症例.2

20代男性嚢胞サイズ11.4mm

症例.3

60代 女性

より長期的な生存率・残存率を高めるために、骨補填剤や人工吸収性メンブレン・バイオセラミック系封鎖剤などを使用しますので、

成功率の向上・長期残存率を伸ばしたい方向けの自費治療費(歯根端切除術逆根管充填)

長期的な生存率・残存率を高めるために、骨補填剤・バイオセラミック系封鎖剤などを使用いたします。

料金

骨欠損部への骨造成術・歯根端切除術逆根管充填 88,000円